Click to zoom
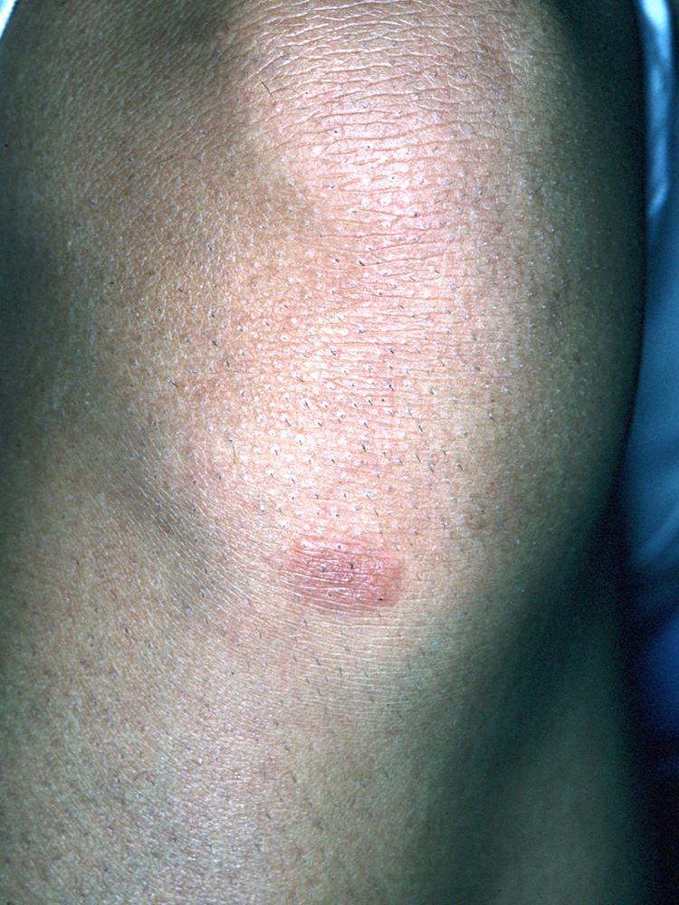
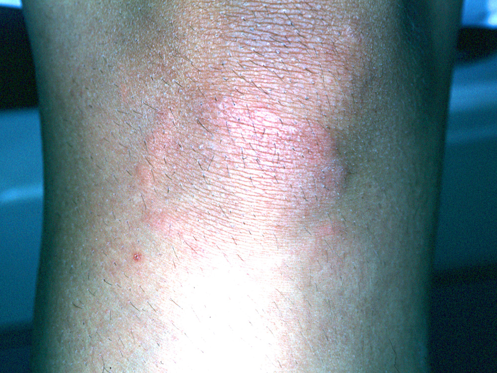
granuloma annulare
Image ID:
9
Source:
Skin Surgery: A Practical Guide
Visit ID:
8
Filename:
Granuloma-annulare_5-11.jpg
×
Use +/- to zoom, drag to pan, Esc to close